登入或註冊帳號即可開始張貼主題
三角纖維軟骨纖維組織TFCC為一個軟骨,韌帶等軟組織所組成的一個複雜機構引用 雞米 的文章-
那個部位受傷很麻煩.因為它為血循末端.沒有微血管.簡單說就是很難自己好
三角纖維軟骨外面1/3的位置如果有撕裂傷.自己癒合的機會不大.有時要動手術將其修補.待其癒合.
手術通常以關節鏡手術修補之.
內部2/3是沒有血液經過的.所以損壞到2/3的地方的話.就算縫起來也不會自己癒合.
可能會以磨掉來受傷部位來處理...但以後手的功能會減退
如果置之不理不照顧.以後可能會引發各類關節疾病.須慎之

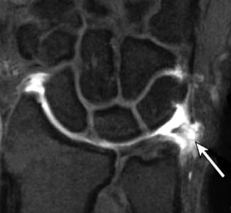
此圖為網路找到的手部MRI TFCC破裂照片(箭頭處)
白色很亮的地方為積水發炎
我的MRI我懶的轉了
雞米您的傷好了嗎?
22 回應
16282 觀看